胸椎骨巨细胞瘤-PETCT检查案例

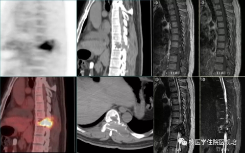
病史及检查目的: 患者63岁女性,4月余前无明显诱因出现持续性胸背部疼痛,沿肋间放射至胸部,左侧重,翻身及行走后加重,查体T4棘突压痛及叩痛(+)。行胸椎CT平扫+三维重建提示T4椎体变扁,后缘可见软组织密度影突向髓腔内,硬膜囊受压,考虑T4椎体病理性骨折可能。实验室检查:尿本周蛋白阴性;尿KAPPA轻链及LAMBDA轻链阴性;肿瘤标志物检测均为阴性。 为明确T4椎体病变性质、寻找骨转移原发灶行PET/CT检查(图2)。 图1.胸椎CT(骨窗) 图2. PET/CT图像 检查所见: T4椎体及附件区域见条状高度放射性浓聚(SUVmax:8.1),CT于相应区域可见溶骨性骨质破坏及软组织肿物影,向后累及附件并突入椎管内,椎体前缘骨皮质尚完整。左腋窝可见一FDG摄取增高淋巴结显影,考虑淋巴组织回流所致。扫描范围其余部位未见明显异常。 检查意见: T4椎体及附件骨质破坏呈葡萄糖代谢明显增高考虑恶性肿瘤可能,需鉴别原发灶不明的转移瘤、浆细胞瘤、骨巨细胞瘤、骨的嗜酸性肉芽肿及不典型淋巴瘤等,建议组织病理学检查。 手术及病理: 行胸椎椎管减压、椎弓根钉内固定术、病灶清除、椎体成形术,积水潭医院病理会诊:(胸4椎体)富含多核巨细胞病变,组织形态首先考虑骨巨细胞瘤。免疫组化:CK(-),Desmin(-),Ki67(10%-15%+),Vimentin(+),ActinSM(-),PGM-1(多核巨细胞+),KP-1(多核巨细胞+)。 病例相关知识: 骨巨细胞瘤(giant cell tumor of bone,GCT)为一种临床较为常见的骨原发性肿瘤,大部分为良性肿瘤,部分生长活跃,极少数一开始就是恶性。GCT具有丰富的血管组织并含有单核基质细胞和很多破骨细胞样的多核巨细胞,其中基质细胞决定肿瘤的性质。Jaffe等[1]首次定义GCT并根据基质细胞的异型性及有丝分裂活动进行病理分级,一般认为I级偏良性,Ⅲ级为恶性,介于两者之间的为Ⅱ级。目前WHO第四版骨与软组织肿瘤已将GCT定义为交界性肿瘤。与西方国家相比,国内GCT的发病率较高,约占所有原发骨肿瘤的20%[2]。女性发病率高于男性,多发生于青壮年,发病年龄多在20-40 岁之间,50岁以上的GCT约占9%-13%,青年人和儿童少见[3]。GCT多发生于骨骺融合后成熟的骨端[4],侵犯长骨多见,*常见于股骨下端、胫骨上端,约占50%以上,发生于非长管状骨如脊柱、骨盆、手骨、颌骨、颅骨等的GCT约占20%,但近年来也有报道GCT在脊柱的发病率增加。该病*常见的症状为肿瘤部位的疼痛与肿胀,且疼痛有活动后加重、休息后缓解的特点,手术是治疗GCT的主要方法,目前亦有一些RankL拮抗剂用于术前药物治疗。 GCT的影像表现具有一定特异性,X线平片表现为骨端偏心性、囊性、膨胀性、溶骨性骨质破坏, 无明显硬化缘,骨包壳完整或部分缺如,部分肿瘤内可见骨性分隔,呈“皂泡样”改变(图3)。CT较X线具有较高的分辨率,能更加细致入微地观察骨质破坏情况,可观察到骨质破坏区内残留的骨嵴,与X线平片上“皂泡样”改变相对应,还可以能清晰地显示破坏区内部结构及软组织肿块及周边残留的骨壳。MRI检查能够清晰显示骨巨细胞瘤的大小、位置及形态,且对肿瘤附近的水肿状况进行清晰显示,在诊断病变范围上的价值较X线与CT检查更高。在MRI检查中,肿瘤的实质部分多呈T1WI与T2WI等信号,其内常可见多发混杂信号影,提示肿瘤内部常伴有坏死、囊变和出血。 图3. 骨巨细胞瘤的皂泡样改变(左:X线片,右:99mTc-MDP骨显像)(北京大学人民医院提供) 尽管骨肿瘤的*终诊断的确立需要临床、影像、病理三结合,即“CRP诊断”,但典型的影像表现对早期临床诊疗决策的建立十分重要。18F-FDG PET/CT全身大视野成像有助于发现肿瘤累及区域,通过发现多发病灶,首先可帮助检出转移瘤或血液系统肿瘤。然而,本病例PET/CT所见为脊柱单发病变,其鉴别诊断面临更多的挑战。由于病灶呈溶骨性骨质破坏并软组织肿物形成,椎体出现病理性骨折且软组织肿物压迫硬膜囊,同时肿瘤呈FDG高摄取,鉴于患者年龄偏大,应首先怀疑恶性病变。患者无肿瘤标志物升高且PET/CT无原发肿瘤病灶显示,不支持上皮源性肿瘤脊柱转移,但从发病机率应考虑有无原发灶隐匿的可能性;病变椎体前缘保留较完整,提示肿瘤侵袭性不强,不符合侵袭性淋巴瘤或一些高度恶性肉瘤的常见表现;单发浆细胞瘤多为溶骨性且可呈膨胀性改变,破坏区可见残留的骨壳和骨嵴,但一般FDG摄取程度相对较低;骨的嗜酸性肉芽肿属于朗格汉斯组织细胞增生症虽可累及脊柱并出现病理性骨折,其FDG摄取程度亦较高,但该病多见于年轻人群。回顾性分析该患者年龄虽然不属GCT好发人群,但亦可发病,而较高的FDG摄取和较温和的骨质破坏可符合GCT表现,然而由于椎体压缩性骨折使得CT对肿瘤形态和内部结构改变的观察不满意。若能获得典型的GCT CT表现,GCT诊断应该首先考虑(图4)。 图4.典型脊柱骨巨细胞瘤的PET/CT及MRI(北京大学人民医院提供) 对于原发性骨肿瘤,18F-FDG PET/CT的摄取与肿瘤成分密切相关,富含巨细胞的肿瘤(骨巨细胞瘤、未分化肉瘤、朗格汉斯组织细胞增生症等)多可见较高FDG摄取,甚至高于常见的恶性骨原发性肿瘤(骨肉瘤、软骨肉瘤、尤文肉瘤等),而良性肿瘤或者细胞成分稀疏的恶性肿瘤FDG摄取程度较低。 小结: 本病例并非典型的骨巨细胞瘤,通过此病例提出这一临床可能遇到的情况,希望为规培的小伙伴们提供脊柱病变的鉴别诊断思路。同时强调对于骨肿瘤的诊断一定是临床、影像、病理的综合分析,对常见的骨原发肿瘤相关知识应加以了解。 作者:中日友好医院核医学科 韩萍萍 郑玉民 参考文献: [1] Jaffe Hk, Lichtenstein L, Portis RB. Giant cell tumor of bone: Its pathologic appearance, grading, supposed variants and treatment. Arch Pathol, 1940, 30: 993. [2] Szendröi M. Giant-cell tumour of bone. J Bone Joint Surg Br, 2004, 86: 5-12. [3]Murphey MD, Nomikos GC, Flemming DJ, et al. From the archives of AFIP. Imaging of giant cell tumor and giant cell reparative granuloma of bone: radiologic-pathologic correlation. Radiographics, 2001, 21: 1283-1309. [4] 段承祥,王晨光,李健丁主编. 骨肿瘤影像学. 科学出版社, 2004年第一版。



